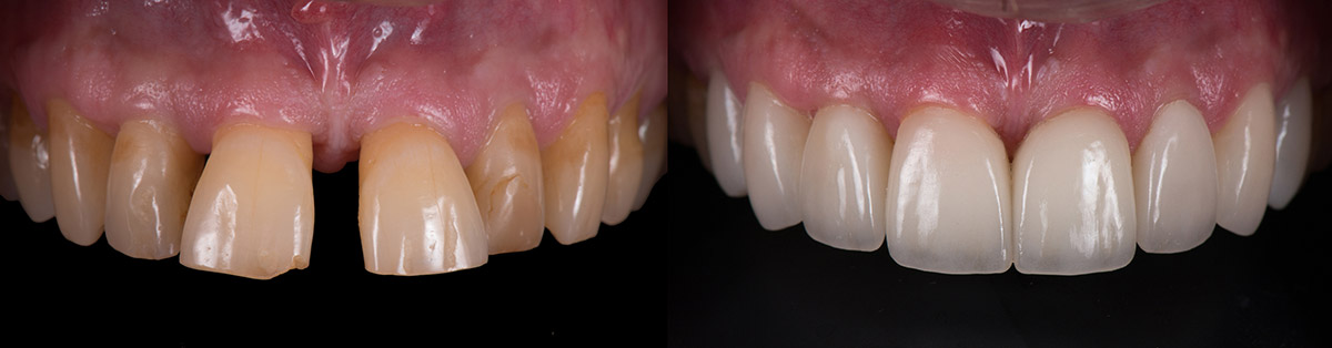
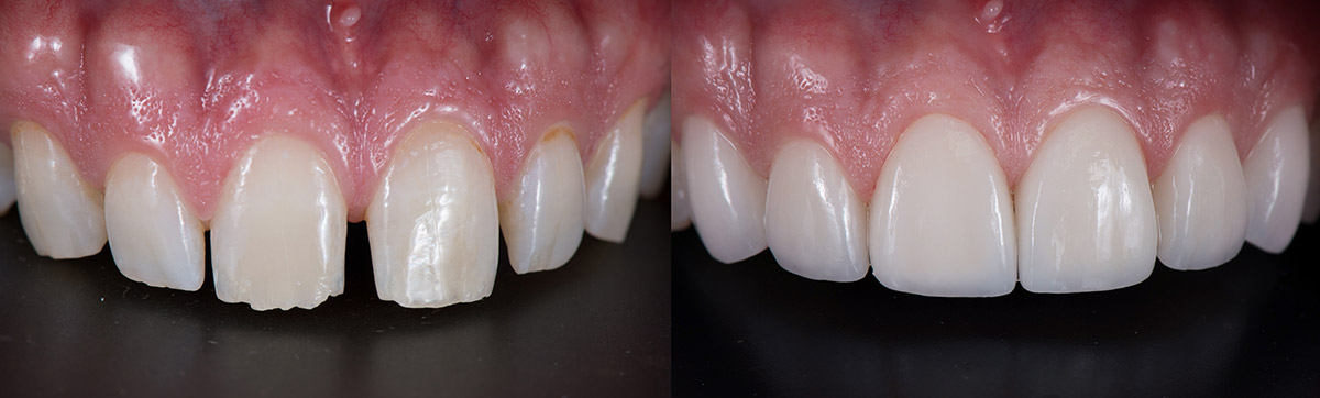
Smile Makeover
Porcelain veneers
Porcelain dental veneers are thin shells of medical-grade porcelain that fit over the front and edge of the teeth to restore teeth which are stained, are chipped, have gaps or are misaligned. The benefit of porcelain dental veneers is that very little of the tooth’s surface needs to be shaved during treatment which preserves most of the tooth structure. Veneers can significantly improve the appearance of teeth. The colour of veneers can be selected to match other teeth and this type of tooth restoration is extremely stain resistant.
Dental crowns
A dental crown is a tooth-shaped cap that restores a decayed, broken, weak or worn-down tooth. Dentists also use crowns to cover dental implants and root canal-treated teeth .Some cases of huge cavities or fractures can not be replaced by veneers, the dentist will recommend a dental crown instead . Made from a variety of materials, including metal, resin and porcelain, crowns last between 7 – 15 years with proper care.
Book your free consultation with our dentists here.
Learn more about what is smile makeover and Dental implants
How to Pick the Right Dental Clinic in Thailand for Overseas Dental Treatment
Choosing the right dental clinic for your treatment in Thailand can ensure you receive high-quality care at an affordable price. Here’s a step-by-step guide to ...
Read More
How to take care of dental implants?
Dental implants are a popular and effective way to replace missing teeth, offering a natural look and feel. However, like natural teeth, dental implants require ...
Read More
Do Dental Implants Hurt? Understanding Dental Implants Post-Operative Care.
If you’re considering dental implants, you’ve likely heard various stories about the process, including concerns about discomfort and post-operative care. It’s natural to feel apprehensive ...
Read More








